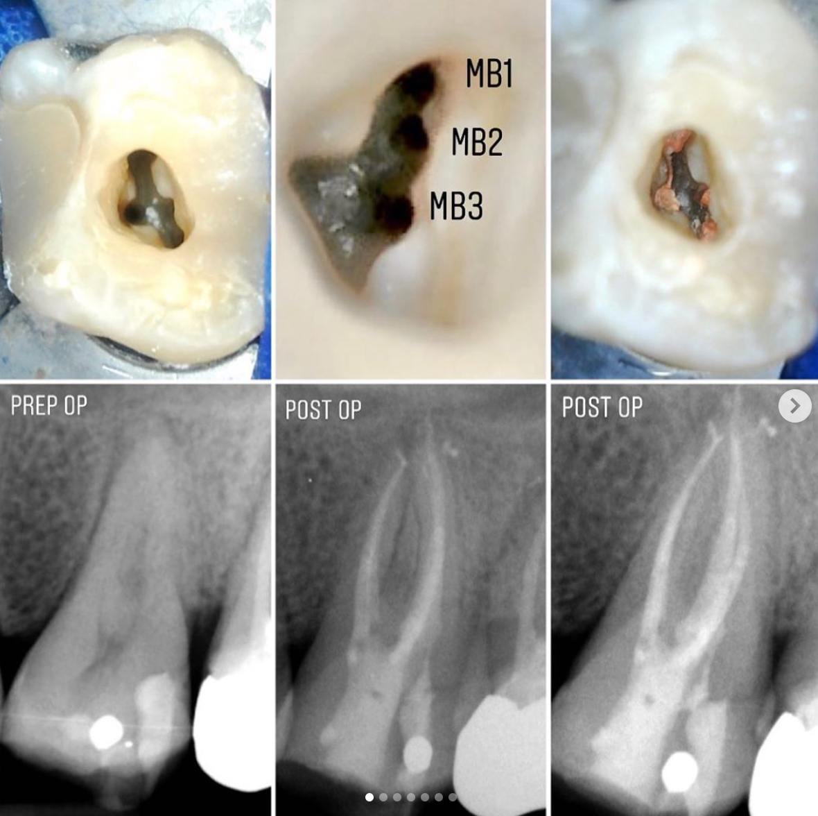
Endodontic Referrals
We have use of a microscope for all of our specialist endodontic cases, along with the latest technology and materials for treatment. Patient’s will be seen by our experienced endodontist, Dr Vishal Klaire. Below are some examples of Dr Klaire’s excellent work.

